About malignant mesothelioma american cancer society. If you've been diagnosed with malignant mesothelioma or are worried about it, you likely have a lot of questions. Learning some basics is a good place to start. See the latest estimates for new cases of malignant mesothelioma in the us and what research is currently being done. Key statistics. Mesothelioma information for patients and families. Welcome to mesothelioma. At mesothelioma, our mission is to educate patients, their loved ones and the general public about this rare cancer and the toxin that causes it, asbestos. Pleural mesothelioma symptoms, stages, and survival rate. Pleural mesothelioma definition pleural mesothelioma is a cancer caused by asbestos exposure, affecting the pleura lining around the lungs, and it is the most common type of mesothelioma. Pleural mesothelioma accounts for nearly 75 percent of all diagnosed cases of mesothelioma. It is often not diagnosed until decades after exposure to asbestos. Malignant mesothelioma cancer stages, prognosis, treatment. Mesothelioma is a rare, aggressive form of cancer that develops in the linings of the lungs, abdomen, heart or testes. The only known cause of malignant mesothelioma is asbestos, though there are other potential risk factors. Due to a long latency period, symptoms may take 10 50 years to develop. Mesothelioma causes, diagnosis & asbestos treatment options. Mesothelioma is a cancer caused by asbestos exposure. If you’ve been diagnosed with mesothelioma, talk to our patient advocates about treatment options and financial compensation. Mesothelioma symptoms and causes mayo clinic. Get a free mesothelioma help guide. Malignant mesothelioma cancer stages, prognosis, treatment. Qualify for compensation.
Surviving mesothelioma what you need to know. Connect with other meso families.
Mesothelioma causes, diagnosis & asbestos treatment options. Mesothelioma is a cancer caused by asbestos exposure. If you’ve been diagnosed with mesothelioma, talk to our patient advocates about treatment options and financial compensation.
Tesla Car Price In Pakistan
Mesothelioma cancer news. File a mesothelioma lawsuit. Mesothelioma cancer video results. For you and your family. Mesothelioma mesothelioma cancer. Treatment options, life expectancy, prognosis, doctors & financial aid. Treatment options 60 years early detection video camera. Mesothelioma causes, symptoms & treatments ctca. Mesothelioma is rare. Our oncologists can help you fight it. Mesothelioma is cancer that develops in the thin tissue, or mesothelium, that lines the lungs, chest wall and abdomen. Mesothelioma mesothelioma cancer. New treatment options free patient resources. Mesothelioma diagnosis and treatment mayo clinic. Based on the findings, you may undergo further testing to determine whether mesothelioma or another disease is causing your symptoms. Biopsy. Biopsy, a procedure to remove a small portion of tissue for laboratory examination, is the only way to determine whether you have mesothelioma.
Tesla De Segunda Mano En Noruega
Asbestos Girl
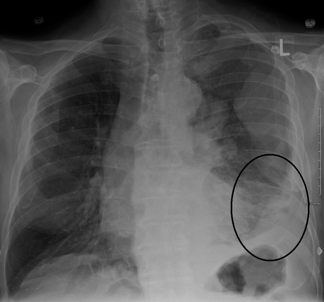
Pleural mesothelioma symptoms, stages, and survival rate. Pleural mesothelioma definition pleural mesothelioma is a cancer caused by asbestos exposure, affecting the pleura lining around the lungs, and it is the most common type of mesothelioma. Pleural mesothelioma accounts for nearly 75 percent of all diagnosed cases of mesothelioma. It is often not diagnosed until decades after exposure to asbestos.
Mesothelioma, lung cancer & other cancers asbestos. Asbestos is a unique type of mineral that can be pulled apart into flexible fibers. When you inhale or swallow microscopic asbestos fibers, your body may never be able to dissolve or expel them. Over many years, the fibers can cause genetic changes that can lead to cancer. Lifestyle factors may. Malignant mesothelioma american cancer society. If you have malignant mesothelioma or are close to someone who does, knowing what to expect can help you cope. Here you can find out all about malignant mesothelioma, including risk factors, symptoms, how it's found, and how it's treated. Learn about the risk factors for malignant mesothelioma and. Mesothelioma what is malignant mesothelioma cancer?. Mesothelioma is an aggressive, malignant cancer caused when inhaled asbestos fibers lodge in the lining of the lungs (pleural), abdomen (peritoneal) or heart (pericardial). Mesothelioma asbestos medlineplus. · mesothelioma is a tumor of mesothelium, a tissue that lines lungs and other organs. Most people who get it have inhaled asbestos. Read the symptoms. Mesothelioma symptoms and causes webmd. We help veterans file va claims. Mesothelioma causes, diagnosis & asbestos treatment options. Lawyers billions recovered. Mesothelioma cancer mesothelioma cancer symptomfind. Mesothelioma compensation. Services free guide, free evaluation, completely confidential.
Mesothelioma symptoms and causes mayo clinic. Mesothelioma cancer symptoms, prognosis, & treatment. · mesothelioma cancer is a rare but aggressive disease caused by asbestos exposure. We offer free assistance to mesothelioma victims and their loved ones. Mesothelioma wikipedia. Mesothelioma is a type of cancer that develops from the thin layer of tissue that covers many of the internal organs (known as the mesothelium). The most common area affected is the lining of the lungs and chest wall. Less commonly the lining of the abdomen and rarely the sac surrounding the heart, or the sac surrounding the testis may be affected. Signs and symptoms of mesothelioma may. Mesothelioma cancer free mesothelioma cancer guide. Join our monthly support group. Mesothelioma symptoms, causes, and prognosis explained. The most experienced mesothelioma.
Surviving mesothelioma what you need to know. Learn about mesothelioma cancer types, signs & symptoms, treatment & more! Malignant mesothelioma american cancer society. And obtain benefits. Malignant mesothelioma treatment national cancer institute. Treatment for malignant mesothelioma may include surgery, radiation therapy, and chemotherapy, as well as targeted therapy. The type of treatment you receive depends on where the cancer is found and at what stage. Find out about treatment options for malignant mesothelioma. Mesothelioma cancer research uk. Mesothelioma. Mesothelioma is a cancer that most commonly starts in the layers of tissue that cover each lung (the pleura). More rarely it starts in the layer of tissue in the abdomen that surrounds the digestive system organs (the peritoneum). Mesothelioma symptoms, causes, and prognosis explained. Mesothelioma definition mesothelioma is a rare and aggressive cancer that affects the lining of the lungs, abdomen, and heart. It is usually caused by exposure to asbestos. Pleural mesothelioma affects the tissue around the lungs and is the most common form of this kind of cancer. Latest clinical trials mesothelioma experts top cancer centers.
Tesla Yalla Motors

